ブリーチング

何らかの理由で変色した天然歯を、薬品を使用して白くする治療です。

下の口腔内写真はどれ位白くなるでしょうか?

ブリーチングによる歯の色の変化

Before

After

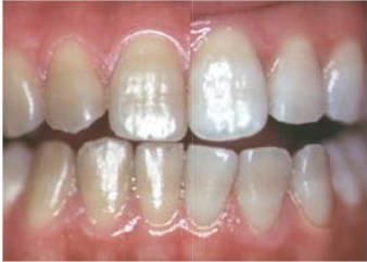
口腔内の場合

ブリーチング後

全体的に茶色の歯を気にされて来院された方です。笑った時に目立つ上下の前歯をブリーチングすることにしました。

全体的に、2段階位、歯が白くなりました。
結果には個人差があります。


ブリーチングによる歯の色の変化

Before

After

ブリーチング前

ブリーチング後

全体的に茶色っぽい歯です。
右図と比較してみて下さい。

写真では特に、上の前歯の白さの変化を確認できます。


注意事項

漂白後も喫煙や色の濃い飲食物などにより、再度変色したりすることがあります。また、元の歯の色によっては、ブリーチング以外の「歯を白くする」治療方法を選択した方が良い場合もあります。

求める「白さ」のイメージを共有できるようにする為、ご自身の希望(具体的な)や歯に対する思い等を事前によく歯科医師とご相談下さい。